发布者:IVD资讯
发布时间:2025-03-14
点击:660
在基因组学研究的广阔领域,数据的准确性和样本的代表性是突破的核心。无论是揭示肿瘤突变、诊断遗传病、精准识别病原微生物,还是助力科服加速农业与畜牧科研育种,如何在复杂的基因组数据中提取关键信息,始终是科研人员面临的重大挑战。传统的建库方法往往在精度、效率或成本之间做出妥协,难以满足复杂样本和大规模数据的需求。而如今,酶切法建库试剂盒的出现,正是应对这一挑战的完美解决方案——它为基因组研究提供了更高的灵活性、精准度、可靠性和简便性,为科学家们破解生命密码、推动创新提供了强大动力。
肿瘤学研究中的精准医疗、遗传学领域的疾病诊断、公共卫生中的病原检测,甚至农业与育种的高效改良,酶切法建库试剂盒均展现出了极大的应用潜力。让我们一起来看看,翌圣推出的酶切法建库试剂盒是如何助力科学家们实现更高效、更精确的基因组学研究的。




图2. 12510+13570ES建库下机测序QC指标对比图
随着全球病原感染研究需求的迅速增长,尤其是在新发和再发传染病频发的背景下,高效的检测技术显得尤为重要。酶切法建库试剂盒凭借其对低丰度DNA片段的高灵敏检测能力,能够准确捕获病原微生物的遗传信息,为感染性疾病的快速诊断和全面的病原谱分析提供了有力支持。该技术不仅适用于常见病原体的精准检测,还能识别复杂感染中的稀有或未知病原体,为病因溯源和传播路径分析提供了可靠依据。

图3. 12316ES文库产出及下机QC指标对比图
在当前的NGS技术服务领域,测序公司面临高通量建库和复杂样本类型的双重挑战。在处理低质量、低浓度样本时,确保建库高效性和准确性至关重要,当样本中存在多糖、多酚等抑制因子时,这些成分可能会干扰DNA提取和建库过程,影响测序数据质量。针对多物种建库,如何保持文库均一性、避免富集偏倚和数据失真也是技术难点。
翌圣生物酶切法建库试剂盒具有出色的样本兼容性,能够处理各种复杂样本,确保最大程度建库成功,并保持文库的均一性和稳定性,为后续测序提供高质量基础。其技术突破在农业与畜牧领域带来了革命性变革,助力作物改良和牲畜育种,提高农作物的产量、抗逆性和品质,优化牲畜生长性能、健康状况及繁殖能力,显著加速传统育种周期,推动优良品种选育和精准遗传改良。

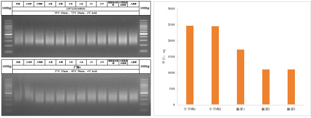
图4. 12972ES不同物种文库均一性对比图(左)
及复杂样本建库文库产量图(右)
酶切法建库试剂盒作为高效、精准的核酸片段化工具,其应用范围远超传统领域。在环境科学中,它助力于微生物群落的多样性分析,为生态系统健康评估提供强有力的数据支持;在食品安全中,可用于检测转基因成分或微生物污染,为食品质量监管筑起安全屏障;在法医学中,它通过快速建库支持复杂样本的DNA分析,助力案件侦破和身份鉴定;在农业科技中,推动了微生物组与植物互作机制的探索,为绿色农业和生物防治提供创新方案。这些多元化的应用,彰显了酶切法建库试剂盒在生命科学领域的广泛价值与无限潜力。

